
Nicht jeder weiß, was Osteoarthritis ist, dadurch sind Menschen in Behandlungsmethoden verwirrt und verstehen die Prinzipien der Pathologie -Diagnose nicht. Arthrose ist eine schwere Vergewaltigungsvergewaltigung, die die Verletzung von Knorpelgeweben in der intra -kartikulären Hohlheit verursacht. Die Komplexität der Therapie ist mit der Irreversibilität von Prozessen verbunden, eine vollständige Heilung kann nicht im Rahmen der modernen Medizin erreicht werden, aber die Schwere der Symptome kann verringert und das Fortschreiten der Pathologie abnehmen. Bei der richtigen Behandlung setzt eine Person den üblichen Lebensstil für lange Zeit fort.
Was ist Osteoarthritis?
Auf die gleiche Weise ist es einfacher als bei der Krankheit Arthrose ist eine Artikulationserkrankung, die die Einschränkung der Amplitude von Bewegung und Schmerzen verursacht. In der ersten Phase des Schadens gibt es keine Manifestationen, sie haben eine leichte Schwerkraft und waschen. Nach und nach wird die Pathologie fortschreitet, dies wird durch Veränderungen im Zusammenhang mit dem Alter im Körper, in den Stress, den Verletzungen usw. gemäß Statistiken, ungefähr 80% der Bevölkerung von mehr als 60 Jahren Arthrose, erleichtert.
Die Arthrose des Gelenks wird über lange Zeit entwickelt, beeinflusst zunächst nur den hyalinen Knorpel und verbreitet sich dann auf die Knochen, umfasst die Synovialschicht, die Muskeln und die gesamte Gelenkkapsel. Im ersten oder frühen Stadium der Arthrose manifestiert sich die Läsion leicht: kleine Schmerzen nach harter Arbeit, Schwellung, Rötung der Haut. Aufgrund der Ignorierung der unangenehmen Empfindungen ist das Gelenk deformiert, entzündet, starken Schmerzen, und sein Höhepunkt fällt am Morgen. Die Krankheit ist durch das Verschwinden von Schmerzen nach der Entwicklung der Artikulation gekennzeichnet. Wenn nicht, verliert eine Person die Mobilität des Gelenks vollständig.

Es gibt eine primäre und sekundäre Form von Arthrose. Die Pseudo-Dar-Ahrosis (Neo-Dar-Arthrosis) wird ebenfalls unterschieden, nicht viele Menschen wissen, was es ist, da sie seltener als andere Sorten gebildet wird. Neoarthrose ist ein falsches Gelenk, daher nimmt das Knorpelgewebe an einem ungewöhnlichen Ort zu, an dem der Schaden erhalten wurde. Es ist schwer zu behandeln, hauptsächlich chirurgisch.
Es gibt eine Pathologie aufgrund regenerativer Funktionsstörungen, Immunität oder mechanischer Schädigung. Aufgrund mehrerer Ursachen für Knorpel wird es dünner. Unter normalen Bedingungen erhält das Knorpelgewebe eine ausreichende Ernährung für die Genesung, aber nach übermäßiger körperlicher Anstrengung oder aufgrund eines Verstoßes gegen Stoffwechselprozesse haben Stoffe keine Zeit, um sich zu regenerieren. In der ersten Phase bleibt die gemeinsame Mobilität. Nachdem sie überlegt hat, was Arthrose als Definition ist, lohnt es sich, die Entwicklung der Pathologie ausführlicher zu vertiefen.
Der Mechanismus der Entwicklung von Arthrose, seine Typen
Viele Osteoarthritis -Sorten werden nach einem ähnlichen Schema entwickelt:
- Die primäre Läsion beeinflusst den hyalinen Knorpel. Bei Kreislaufstörungen tritt die Verschlechterung der pathologischen Kraft auf. Es ist der erste Schritt oder die erste Ursache, die eine Arthrose auftreten kann.
- Hyalin -Beschichtungspathologien. Das Abnehmen des Knorpels führt zum Ersatz seiner pathologischen Gewebe: Knochenstrukturen.
- Anomale Wachstum erscheinen im Knorpel - Osteophyten.
- Die Verletzung der natürlichen Anatomie des Knorpels und der Knochen verursacht die Überlastung gesunder Knorpelbereiche. Die Zerstörung von gemeinsamen Stoffen ohne Behandlung verläuft ständig und führt zu Behinderungen.
Wenn der Krankheitsgrad zunimmt, sind pathologische Prozesse immer noch verschlimmert. Am Ende wird der gesamte Hyalinknorpel zerstört.
Der letzte Grad der Krankheit führt zu:
- Teilnahme am pathologischen Prozess von Knochen unter und über knorpeligen Oberflächen;
- Reizung eines Gelenkdeckels, der die Mobilität einschränkt, was zu einer Behinderung von 2 Grad führt;
- Erhöhung der Kapseldichte;
- Reduzierung der Lücke in der gemeinsamen Lücke, die im Bild bemerkenswert wird. Das Vergewaltigungsstadium wird vom Diagnose-Tantnologen bestimmt. Der Patient spürt die Komplexität oder Unfähigkeit, das Glied vollständig zu begradigen und zu falten.
- Gelenkverformung, Knorpel erhält eine unregelmäßige Form, provokative Krümmung;
- Verschlechterung im Zustand des Patienten mit der vollständigen Zerstörung des Gelenks.
Stadien der Arthrose
Gelenkkrankheiten haben 3 Entwicklungsstufen:

- 1 Note. Morphologische Störungen haben bereits begonnen, sind aber noch nicht bemerkenswert. Die Pathologie beeinflusst hauptsächlich den Zustand der Synovialflüssigkeit, die das Schlimmste an Knorpelgewebe mit Nährstoffkomponenten versorgt und die Knorpelbeständigkeit verringert. Die Last in den Gelenken verursacht Entzündungen und Schmerzen.
- Stufe 2. Aufgrund des Versorgungsmangels werden die notwendigen Patronen zerstört. Auf der Knorpeloberfläche wird das Knochenwachstum gebildet. Die Schmerzen erwerben einen ausgeprägteren Charakter, der nach einer langen Pause verstärkt wurde, durch eine kleine körperliche Arbeit eliminiert. Der Schmerz wird von Entzündungen begleitet. Die Muskeln dehnen sich, was zu schwachen oder durchschnittlichen motorischen Funktionen führt.
- 3 Grad. Es gibt oft Schmerzen, es ist schwierig, das Glied aufgrund von Veränderungen im Gelenk zu bewegen. Die Läsionen sind umfangreich, sie werden für das nackte Erscheinungsbild bemerkenswert. Die Verformung der Gelenkstelle tritt auf, der betroffene Bereich schwillt an und wird rot. Die Achse des Gliedes wird gestört, was zur Komplexität der Bewegung führt. Pathologische Veränderungen verursachen die Bänder. Unteruish und Vertrag erscheinen. Die angrenzenden Muskeln werden verkürzt oder gestreckt, von denen die kontraktile Funktion schwächt.
Ursachen und Risikofaktoren für die Entwicklung einer Arthrose
Die Ursachen der Arthrose der Gelenke unterscheiden sich in Abhängigkeit von der Form der Pathologie. Verformung der Arthrohrose des Ellbogengelenks, der Knöchelgelenk und der Schulter -Arthrose entwickelt sich manchmal ohne bemerkenswerte Ursachen. Es ist möglich, sie mit einem Arzt zu erkennen, einem Rheumatologie -Spezialisten. Wenn dem Problem nicht sichtbare Pathologien vorausging, wird die Krankheit als primär bezeichnet. Die sekundäre Form des Verstoßes wird hauptsächlich diagnostiziert, sie kann mehrere Zustände verursachen.
Die Hauptgründe für die Entwicklung:
- Mechanische Schäden: Versetzungen, Brüche, Dehnung, Meniskusverletzungen;
- Mehrere endokrine Störungen im Zusammenhang mit einer Fehlfunktion der Immunitätsarbeit;
- Stoffwechsel Pathologien;
- Dysplasie (angeborene Anomalien von Gelenkgeweben);
- erlitt Entzündung der Gelenke;
- Pathologien, die zu einer hohen Gelenkmobilität und zu einer Schwächung des Bandes führen.
Patienten mit Arthrose fanden häufig eine Krankheit aufgrund prädisponierender Faktoren:
- Änderungen im Zusammenhang mit dem Alter;
- Leichtes Gewicht und erhöhter BMI. Die hohe Belastung im Brett führt zu einem schnellen Gelenkverschleiß;
- Mangel an vorteilhaften Substanzen;
- Übermäßige Belastung in den Fugen. Grund ist intensives Training, Sport, harte körperliche Arbeit;
- Schwierige Arbeitsbedingungen oder ein falscher Ansatz für Sport. Wenn es eine genetische Tendenz zur Beschädigung, Gelenkverletzungen oder ähnlichen Krankheiten gibt, ist es wichtig, ein spezielles Trainingsprogramm zu halten und traumatische und schwierige Übungen zu vermeiden.
- Die postoperative Erholungsperiode oder komplexe Operationen, die mit der Aufteilung eines großen Teils der betroffenen Stoffe übertragen wurden. Diese Zustände beeinflussen negativ die Weichheit und Stärke des Knorpels, die Last muss in ihnen minimiert werden.
- Genetische Tendenz, Arthrose wird bei Patienten mit Verwandten mit derselben Pathologie häufiger diagnostiziert.
- Das Stadium nach der Menopause tritt bei Frauen seit ungefähr 50 Jahren auf und ist mit Änderungen des endokrinen Systems verbunden.
- die zerstörerische Wirkung von Toxinen;
- schlechte Umweltsituation in der Residenzregion;
- Häufige Schäden an der Artikulation, manchmal erscheinen Mikrien für lange Zeit nicht;
- Unterkühlung;
- Pathologie des Lenden- und Gebärmutterhalsteils der Wirbelsäule.
Primäre Arthrose

Die primäre Arthrose ist unabhängig, dh ohne den Einfluss einer internen oder externen Ursache. Die Niederlage entwickelt sich ziemlich langsam durch Hyalins Knorpel. Es wird selten diagnostiziert, entspricht nur 3-5% aller Fälle.
Sekundäre Arthrose
Sekundäre Arthrose wird häufiger in einer Ordnung von 95-96% der Fälle festgestellt. Sie werden durch eine der vorherigen Pathologien verursacht.
Anzeichen und Symptome einer Arthrose
Die Manifestationen der Krankheit unterscheiden sich in Abhängigkeit von der Lage wenig, die Anzeichen spiegeln aufgrund von hoher Belastung häufiger auf Knie, Schultern und Hüftfugen wider.
Die meisten Beschwerden werden auf:
- Schmerz. Sie haben in der Anfangsphase eine geringe Schwerkraft, wobei sich der Empfindungsstatus verschärft. Zunächst weh der Gelenke erst nach dem Aufwachen, nachdem ein warmes Licht verschwunden war. Im Laufe der Zeit treten die Schmerzen nachts auf, sie stören während und nach dem Gehen, Laufen usw. In der letzten Stufe verfolgt das Pain -Syndrom die ganze Zeit eine Person;
- Beschränkte Bewegungen. Die Steifheit der Aktionen zeigt anatomische Veränderungen in der Struktur an. Zuerst manifestiert es sich am Morgen, dann sind die täglichen Bewegungen begrenzt. Um nicht die Verschlechterung des Zustands zu verursachen, muss die Arbeit vielfältig und leicht sein, andernfalls kann der Patient das Glied im Laufe der Zeit nicht entsperren und drücken. Im Laufe der Zeit besteht das Risiko eines Vertrages, aus dem eine Person die Motorkapazität verliert.
- Corona während Bewegungen: Es gehört zu den unspezifischen Manifestationen der Arthrose. Die Krankheit zeichnet sich durch das Auftreten von Crunch in einer einzigen Artikulation (außer Polyartersis) aus, begleitet von begrenzten Beschwerden, Schmerzen und Handlungen. Die Natur des Stroms ähnelt der Welle: Am Anfang manifestiert sie sich schwach, verstärkt sich allmählich, aber in 3 Stadien verschwindet;
- Rötung der Rötung. Es befindet sich in der Nähe des Krankengelenks. Dies weist auf einen entzündlichen Prozess und ein Fortschreiten der Krankheit hin. Der Arzt versteht, dass die Synovialbedeckung betroffen ist. Dies führt zu der Ansammlung von Flüssigkeiten und erhöhten Schmerzen.
Gliedmaßenverformungen. Es erscheint in einer unachtsamen Art der Krankheit und zeigt die vollständige Zerstörung des Knorpelgewebes und das Erscheinungsbild von Osteophyten an. In diesem Zustand nimmt der Druck auf die Gelenke im oberen und unteren Teil zu, aus dem die Krümmung das gesamte Glied beeinflussen kann.
Es ist wichtig, sich daran zu erinnern, dass die Verformung der Knochen im Bein oft mit Mais verwechselt wird. Das Symptom ist nur auf den ersten Blick nicht sehr gefährlich, führt jedoch zu schwerwiegenden Folgen.
Komplikationen
Zunächst werden konservative Therapiemethoden zur Behandlung angewendet. Wenn sie ineffektiv sind oder der Patient die Empfehlungen des Arztes ignoriert, besteht das Risiko von Folgen.
Mögliche Komplikationen:
- Die Artikulation ist vollständig zerstört;
- Das Glied ist immobilisiert, jede Bewegung wird extrem schwierig;
- Zwischenwirbelhernien;
- Behinderung;
- Starke Verformung des Gelenks oder des gesamten Gliedes.
Diagnose einer Arthrose
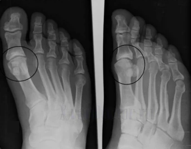
Um eine Diagnose zu stellen, untersuchen Rheumatologen die Beschwerden des Patienten und verschreiben eine X -Ray -Untersuchung. Meistens wird die Radiographie in 2 Projektionen verwendet. Der Arzt analysiert das Vorhandensein von Verteilungsstörungen in den Hyalinenknorpel- und Knochenverbindungen. Wenn die Gelenkspalte verringert wird, die Knochen verzögert oder abgeflacht sind, gibt es zystische Formationen auf der Knorpeloberfläche, Osteophyten sind offensichtliche Anzeichen einer Arthrose. Während der Inspektion zeigt die Arthrose auf die Instabilität der Artikulation an: die Achse der Gliedmaßen und die Subluxation wird verändert.

Oft kann ein X -Ray -Bild keine vollständigen Informationen über den Zustand des Gelenks geben. Für eine gründlichere Studie ist die computergestützte Tomographie verschrieben, und es ist wirksam, die Knochen zu untersuchen. Magnetresonanz wird häufiger zum Untersuchung von Weichgeweben verwendet.
Während der Diagnose wird die Teilnahme anderer Spezialisten, die zur Bestimmung der Grundursache der Pathologie beitragen, praktiziert. Sie greifen häufig auf die Konsultation eines Hämatologen, Endokrinologen, Gynäkologen, Orthopädie zurück.
Moderne Behandlung
Es gibt Hunderte von Formen der Arthrose -Therapie, aber alle werden zu einer Reihe von Methoden reduziert:
- Pharmakologische Behandlung Die Hauptaufgabe besteht darin, die Symptome zu bekämpfen und eine stärkere Entwicklung einer Verletzung zu vermeiden. In den meisten Fällen werden Analgetika verwendet, um Schmerzen zu lindern, nicht -steroide entzündungshemmende Medikamente zur Bekämpfung von Entzündungen, hormonelle Medikamente werden für schwere Schmerzen und akute Entzündungen verschrieben. Jeder Kurs basiert auf Eigentumswohnungen, die das Knorpelgewebe vor Zerstörung schützen. Natürliche Substanzen werden zur Herstellung verwendet.
- Physiotherapie. Es verbessert die Wirksamkeit von Medikamenten, kämpft mit Entzündungen, lindert Symptome und beschleunigt die Regeneration der Gewebe. Ultraschall-, elektrische, magnetische, magnetische und lasertherapie. Dies umfasst auch Schlammbäder, Anwendungen mit natürlichen Materialien, Radonbädern;
- Medizinische Sportunterricht. Es ist genauso nützlich wie eine Prävention und die Erleichterung des Zustands. Nach den richtigen körperlichen Übungen ist es möglich, Schmerzen vollständig zu beseitigen. Es ist nützlich, den Pool zu besuchen, am Yoga teilzunehmen und oft zu Fuß zu gehen.
- Manuelle Therapie, Massage hilft bei der Behandlung der Krankheit, da sie zur Vorbeugung der Krümmung der Gelenke beitragen. Nach den Läsionen kann der manuelle Therapeut das Gelenk ausbalancieren und seine Fixierung in der falschen Position vermeiden. Nach der Massage wird der Muskeltonus verbessert, die Durchblutung beschleunigt;
- Angemessene Ernährung. Eine gesunde Ernährung hilft dabei, den Körper mit Nährstoffen zu bereichern und das Körpergewicht zu verringern. Eine große Masse erhöht den Verschleiß der Gelenke;
- Die Behandlung der Sanatorium Resort wird die Gelenke stärken. Im Rahmen der Heilung, Balneotherapie Sanatorium, Trainingstherapie, physiotherapeutische Verfahren usw.;
- Nicht -traditionelle Therapie. Zur Behandlung von Arthrose, Hütten, Nettomedizin-, After- und Kräuter- sowie Akupunktur und mehreren beliebten Rezepten;
- Die chirurgische Intervention ist die einzige Möglichkeit, in der dritten Stufe der Krankheit in das übliche Leben zurückzukehren. Mit der Endoprothetik können Sie den Knorpel des Patienten durch das Implantat ersetzen. Der einzige Nachteil des Betriebs sind die hohen Kosten. Ein Verfahren reicht für 15 bis 20 Jahre aus.
Vorbeugende Maßnahmen
Damit die Arthrose des Gelenks das Alter nicht stört, ist es:
- Einen gesunden Lebensstil aufrechterhalten;
- Vermeiden Sie starke Lasten;
- eine Diät beobachten;
- schlechte Gewohnheiten ausschließen;
- Täglich Gymnastik durchführen;
- Folgen Sie dem Gewicht.
Arthrose ist eine gefährliche Krankheit, die viel einfacher zu heilen ist. Mit der rechtzeitigen Suche nach einem Arzt und der Einhaltung der Behandlungsregeln kann der Patient einen längeren Zeitraum familiären Lebensstil aufrechterhalten. Der Mangel an Therapie und Selbstmedikation verursacht eine rasche Verschlimmerung der Krankheit und letztendlich Behinderung.























